Kidney Cancer Care in New Jersey
When it comes to kidney cancer, Hackensack Meridian Health offers you the best chance of treating your cancer without removing your kidney.
Hackensack University Medical Center has NJ’s best Urology program, and Top 15 nationally from U.S. News & World Report 2025-2026. The program is also a Top 5 Urology program in the NY-NJ Metro Area. The urologists at Hackensack Meridian Health are recognized worldwide as leaders in robotic kidney surgery, and 98% percent of kidney surgeries at Hackensack University Medical Center use robotic technology.
Our surgeons have taken robotic kidney surgery one step further by developing a single-port approach, which means all surgical tools and camera are inserted through a single incision. Hackensack University Medical Center was among the first hospitals in the world — and the first in New Jersey — to use the da Vinci SP® single-port robotic surgery system for urologic surgeries with 24% of kidney surgeries utilizing this approach.
What is Kidney Cancer?
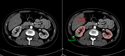
The kidneys are two bean-shaped organs about the size of a fist, located on each side of the spine behind your abdominal organs. Your kidneys are important because they help you maintain a healthy balance of minerals essential for your body’s tissue, muscles and bones. Your kidneys also make hormones that control blood pressure. Kidney cancer occurs when cells of one or both kidneys grow too quickly, become cancerous and form tumors. The most common form of kidney cancer in adults is called renal cell carcinoma.
What are the Symptoms of Kidney Cancer?
In its early stages, kidney cancer does not usually cause symptoms. Over time, symptoms can develop. You should talk to your doctor or see a urologist if you have one of the following symptoms, which may be a sign of kidney cancer or another health condition:
- Pain in your back or side that does not go away
- Blood in your urine, causing it to look orange, pink or dark red
- Swelling of your ankles or legs
- Loss of appetite or unexplained weight loss
- Extreme fatigue
Accurate Diagnosis of Kidney Cancer
Kidney cancer does not always show symptoms, so accurate testing is essential for a diagnosis. Hackensack Meridian Health uses the most advanced imaging along with other tests to diagnose kidney cancer.
With the most advanced MRI and CT technology, Hackensack Meridian Health uroradiologists (radiologists who specialize in conditions of the urinary tract) partner with your care team to make an accurate diagnosis. This includes:
- Determining whether a mass is solid (which can indicate a cancerous or non-cancerous tumor) or fluid filled (which can indicate a non-cancerous cyst)
- Diagnosing with great precision the size and stage of any tumors in the kidney
- Distinguishing tumors that need surgery and tumors that are candidates for active surveillance
- Detecting any cancer that has spread beyond the kidney
- Using your high-resolution images to create a 3D digital model of your kidney with IRIS™ -- for unparalleled surgery planning and guidance
We are the first of two centers in the U.S. to create a 3D digital model of your kidney for surgery planning and for navigation during tumor removal.
Our surgeons plan a roadmap for your surgery by visualizing the tumor in relation to surrounding structures in your kidney. Surgeons then use a real time image and align it with the intraoperative view for guidance from the robot’s console.
This technology has enabled some patients who would have had an entire kidney removed instead to have only the tumor removed while leaving remaining, functioning kidney tissue in place.
Our uropathologists conduct molecular analysis and next-generation sequencing of your kidney cancer tissue. Through a partnership with Genomic Testing Cooperative in Irvine, CA, a first-of-its-kind genomic profiling laboratory, we can identify your cancer’s origin, biology and response to the immune system. Genomic testing is focused on comprehensive profiling of DNA and RNA in hematologic neoplasms and solid tumors, embracing the latest sequencing technology and informatics tools, thereby providing better insights into a patient’s tumor signature.
Your genetic tumor profile allows your care team to design a unique treatment plan and identify clinical trials targeted to your precise type of kidney cancer.
Why Choose Hackensack Meridian Health for Kidney Cancer Treatment
Innovative Treatments
- Single-port robotic kidney cancer surgery: Hackensack University Medical Center was among the first hospitals in the world — and the first in New Jersey — to use a single-port robotic surgery system for urologic surgeries.
- Advanced 3D Kidney Modeling: We are the first of two centers in the U.S. to create a 3D digital model of your kidney for surgery planning and for navigation during tumor removal.
- Precision medicine approach: Your treatment plan is designed around the molecular biology, location, size, grade and stage of your kidney tumor.
Nationally Recognized
- Hackensack University Medical Center has been ranked the best Urology Program in New Jersey for 12 years in a row by U.S. News & World Report and is ranked in the Top 15 nationally.
Kidney Cancer by the Numbers 2024-2025
Our Research and Clinical Trials
A hallmark of the care we provide is access to a wide range of clinical trials evaluating exciting new treatments, including studies not available elsewhere.
We have a particularly strong program committed to Phase I clinical trials, the earliest phase of assessment of a new therapy in patients. For urologic cancers, we are evaluating particularly novel biological agents as well as immunotherapy options that are changing the field. This offers our patients an opportunity to participate in a clinical trial, bringing the options of tomorrow today.
Learn more about clinical trials for urologic cancers.
Frequently Asked Questions
You should see a urologist if you have one of the following symptoms, which may be a sign of kidney cancer or another health condition:
- Pain in your back or side that does not go away
- Blood in your urine, causing it to look orange, pink or dark red
- Swelling of your ankles or legs
- Loss of appetite or unexplained weight loss
- Extreme fatigue
Some of the most common ways our urologists diagnose kidney cancer include:
- Advanced MRI and CT Imaging
- 3D Kidney Modeling
- Genetic Tumor Profiling and Treatment Planning
The urologists at Hackensack Meridian Health treat kidney cancer using the best approach for you. Some of the most common treatment options include:
- Active Surveillance
- Robotic and Minimally Invasive Kidney Surgery
- Partial Kidney Removal (Partial Nephrectomy)
- Total Kidney Removal (Radical Nephrectomy)
- Systemic Therapy
- Tyrosine Kinase Inhibitor (TKI)
- Immunotherapy
- Radiation Therapy




